Avance contra el cáncer de piel: investigadores argentinos crean una vacuna para tratar el melanoma y ya está disponible
La vacuna estimula el sistema inmunológico del paciente para que reconozca y ataque las células cancerosas.
- Científicos proponen la nave definitiva de 58 km de largo que llevaría a 2.400 personas a Alfa Centauri en un viaje interestelar de 400 años
- China supera sus límites y perfora más de 3.400 metros en la Antártida para poder acceder a lagos subglaciales: usaron solo agua caliente

Una vacuna contra el melanoma ya está disponible para pacientes con cáncer de piel en etapas tempranas, tras más de treinta años de estudios realizados por científicos argentinos. Vaccimel se ha convertido en la primera inmunoterapia celular aprobada en Argentina para tratar el tipo más agresivo de cáncer de piel, que ya comenzó a distribuirse.
El avance fue liderado por el equipo del doctor José Mordoh, investigador del Conicet. La producción está a cargo del Laboratorio Pablo Cassará, el primero autorizado en la Argentina para fabricar terapias avanzadas. La vacuna, que no es preventiva, se indica como tratamiento complementario tras una cirugía y tiene el objetivo de reducir el riesgo de recaída en pacientes con melanoma cutáneo en estadios IIB, IIC y IIIA.
¿Cómo funciona la vacuna contra el melanoma?
Vaccimel utiliza un enfoque inmunológico que busca reentrenar al sistema inmune para que detecte y ataque las células tumorales que podrían permanecer en el organismo después de una operación. El tratamiento se compone de 13 dosis aplicadas durante un período de dos años. La inmunoterapia induce la formación de múltiples clones de linfocitos, que reconocen diversos antígenos tumorales presentes en el melanoma.

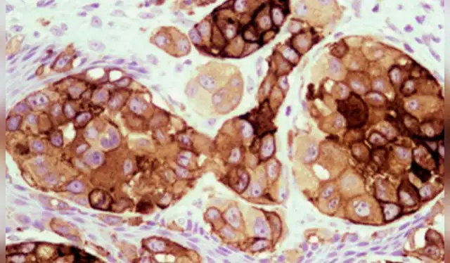
La vacuna VACCIMEL activa una fuerte respuesta inmune contra el melanoma. Foto: Conicet
“El cuerpo empieza a tener muchos clones, que comienzan a reconocer distintos antígenos de melanoma: en más del 60% de los pacientes, esos clones alcanzan para que la enfermedad no se repita (recaída)”, explicó el doctor Mordoh, quien lideró el desarrollo junto con la Fundación Sales y el Conicet. A diferencia de tratamientos tradicionales como la quimioterapia, esta estrategia busca potenciar las defensas naturales del organismo con un riesgo menor de efectos adversos.
PUEDES VER: El día se convertirá en noche: el eclipse solar más largo del siglo ya tiene fecha y será pronto

¿Quiénes pueden recibir Vaccimel y dónde está disponible?
La vacuna está indicada únicamente para pacientes diagnosticados con melanoma en etapas intermedias, con riesgo alto o moderado de desarrollar metástasis. Es un tratamiento adyuvante, es decir, se aplica tras una intervención quirúrgica cuando aún no hay metástasis detectadas, pero existe una alta probabilidad de que aparezcan.
“No es para que las personas se vacunen, sino para el tratamiento en aquellos pacientes que por su melanoma… van a tener más riesgo potencial de desarrollar lesiones más allá de la piel y los ganglios. Es lo que llamamos metástasis a distancia”, detalló Ana De Pablo, dermatóloga del Hospital Austral y miembro de la Sociedad Argentina de Dermatología (SAD).
El tratamiento no se vende en farmacias. Está disponible en centros autorizados como el Hospital de Oncología María Curie, en la Ciudad de Buenos Aires, y su acceso se gestiona a través de la cobertura médica de cada paciente. El laboratorio confirmó que su costo es similar al de los anticuerpos monoclonales disponibles, pero con menos efectos secundarios.
PUEDES VER: Científicos avistaron en México una rara ballena con colmillos tras cinco años de búsqueda

La importancia de detectar el cáncer de piel a tiempo
El melanoma representa apenas el 5% de los casos de cáncer de piel, pero es el tipo más agresivo. La detección temprana es fundamental para aumentar las probabilidades de tratamiento exitoso. Según estimaciones, cada año se diagnostican alrededor de 1.700 nuevos casos en Argentina, y cerca de 440 podrían beneficiarse con la vacuna en sus estadios iniciales.
Desde la SAD se promueve el autoexamen regular y la consulta médica ante cualquier cambio sospechoso en la piel. Para esto, los especialistas recomiendan aplicar la regla ABCDE:
- A: Asimetría en la forma del lunar o mancha
- B: Bordes irregulares
- C: Coloración desigual o cambios de color
- D: Diámetro mayor a 6 milímetros
- E: Evolución visible, como picazón, sangrado o formación de costras
“La vacuna es una nueva arma terapéutica que, en los pacientes con más riesgo de hacer metástasis, podría tratar esos pequeños focos de células que pudieran estar escondidos”, sostuvo De Pablo durante la 32° Campaña Nacional de Prevención del Cáncer de Piel.

































