Un feto con columna vertebral y dedos fue extirpado del cerebro de una bebé de 1 año
La menor tenía dificultades motoras y cabeza agrandada. Al examinarla, descubrieron que tenía un "gemelo parásito" en su cerebro.
- China compra maíz de un país de Sudamérica por primera vez en más de 10 años y proyectan que exportación supere 40 millones de toneladas
- El aeropuerto sobre la cordillera de los Andes que un país de Sudamérica moderniza con más de US$30 millones y estará listo en 2027

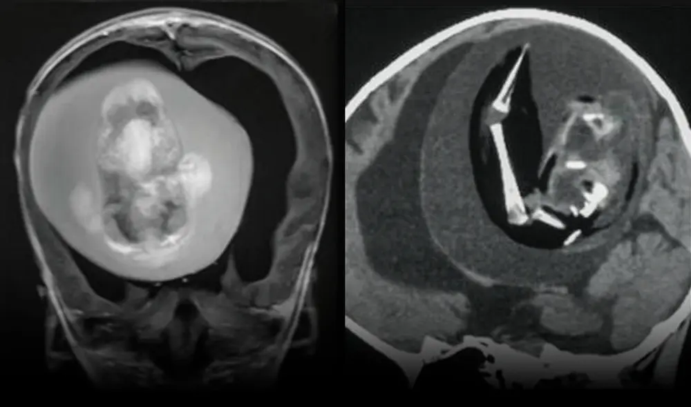
Una niña de 1 año fue sometida a una intervención quirurgica para extraer el feto de su hermano gemelo, anomalía conocida como "fetus in feto” (feto en feto) o "gemelo parásito”, según informó la Universidad de Fundan en Shangái, China. “Se identificó un fetus-in-fetu intraventricular, un gemelo diamniótico monocoriónico malformado, en una niña de 1 año con retraso motor y perímetro cefálico agrandado”, señala el reporte publicado el último 12 de diciembre de 2022.
PUEDES VER: Debbie Stevens: ¿qué pasó con la mujer que fue despedida por su jefa tras donarle su riñón?

Ocurre en 1 de cada 500.000 nacidos
El fenómeno ocurre aproximadamente a 1 de cada 500.000 nacidos. Usualmente, el feto malformado aparece en el abdomen; sin embargo, en este caso apareció en la cabeza de la menor.
TE RECOMENDAMOS
LO MEJOR DE LOS PROGRAMAS LR +
Cuando eran fetos, ambos habían compartido la misma placenta, aunque separados por sacos amnióticos. Todo parece indicar que uno de ellos fue “absorbido durante la gestación” y se alojó en el cerebro de la niña durante el proceso de desarrollo, denominado plegamiento de la placa negral.
El descubrimiento se dio luego de que la menor diera señales de retrado en el desarrollo de sus habilidades motoras, agrandamiento en la circunferancia del craneo y acumulación de líquido en el cerebro.
PUEDES VER: Mujer quedó en libertad tras abusar sexualmente de niño de 13 años y terminar embarazada

Los escáneres cerebrales revelaron que el feto en la cabeza de la niña tenía columna vertebral y dos huesos de la pierna. Además, tenía espina bífida —afección donde parte de la médula espinal queda expuesta— y, cuando fue extraído, se determinó que tenía brotes de extremidades superiores y dedos.
































