Científicos logran avance prometedor para niños con un raro cáncer cerebral
La combinación de dos fármacos empleados para otros cánceres ha mostrado eficacia contra un tumor cerebral incurable y de rápido crecimiento mortal en niños.
- Científicos proponen la nave definitiva de 58 km de largo que llevaría a 2.400 personas a Alfa Centauri en un viaje interestelar de 400 años
- La central hidroeléctrica de casi 8 km en Sudamérica que compite con China por liderar la energía mundial: posee un lago artificial

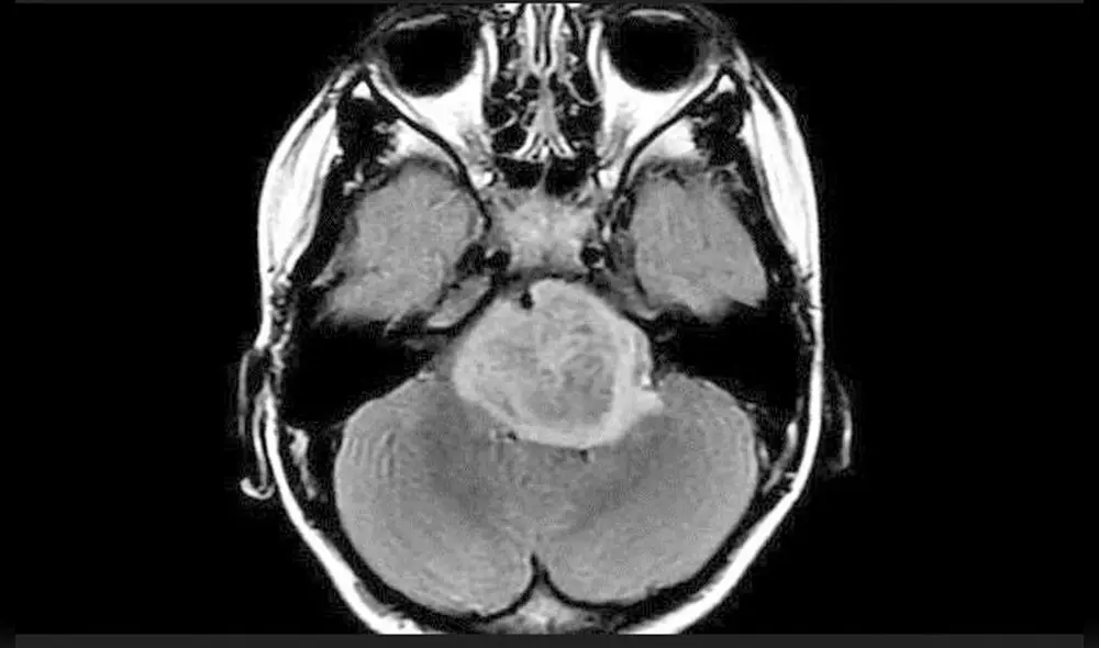
Un nuevo tratamiento ha generado esperanza para los niños que sufren glioma pontino intrínseco difuso (DIPG), un extraño cáncer cerebral agresivo que provoca la muerte en solo unos meses. Se trata de la combinación de dos fármacos empleados para otros cánceres existentes que ha mostrado eficacia ante esta enfermedad incurable.
Los médicos responsables de este avance pertenecen al Instituto de Investigación del Cáncer (ICR), en Londres. Según informa The Guardian, los fármacos son utilizados generalmente contra el cáncer de piel y contra el cáncer de sangre, respectivamente. Sin embargo, juntos parecen combatir el glioma pontino intrínseco difuso, algo que hasta ahora ningún tratamiento ha logrado.
“Esperamos que se convierta en un nuevo y exitoso tratamiento combinado para esta terrible enfermedad”, declaró Chris Jones, profesor de biología de tumores cerebrales pediátricos en el ICR.
Tratamiento en espera de aprobación
La combinación de fármacos consta de dasatinib para la leucemia y trametinib para el melanoma. Su acción conjunta fue probada en ratones y se demostró que retarda el crecimiento de los tumores DIPG. Dicha técnica “tuvo un efecto mucho mayor de lo esperado al sumar ambos medicamentos (que si se hubiera aplicado por separado)”, detalló Jones.
El resultado fue realmente prometedor, ya que redujo el crecimiento de células cancerosas DIPG cultivadas en tejido cerebral de ratón en más de un 60%.
“Estos resultados prometedores nos han animado a seguir analizando muestras de pacientes y modelando su respuesta al tratamiento, porque indica cuán específicos son algunos de los tratamientos que necesitamos desarrollar”, resaltó Jones.
El siguiente paso que seguirán los investigadores es buscar la aprobación del tratamiento.
“Nuestros hallazgos deberán validarse aún más en el laboratorio, pero debido a que estamos usando medicamentos aprobados existentes que sabemos que son seguros, esperamos que no pase mucho tiempo antes de que el nuevo tratamiento ingrese a los ensayos clínicos”, puntualizó.






























