Pensaban que era un tumor: una joven vivió 17 años con su ‘gemelo’ dentro de su cuerpo
Se trata de una “rara anomalía” en la que un feto malformado ubica dentro del cuerpo de su gemelo. Los médicos de India extrajeron al ‘intruso’, que incluso tenía pelos y dientes.
- Uno de los trenes más altos del mundo está en un país de América Latina: viaja a más de 4.000 metros de altura
- China lanza al espacio "embriones artificiales" para estudiar si los humanos pueden reproducirse fuera de la Tierra

En India, una joven de 17 años tenía un ‘hermano gemelo’ alojado en su abdomen. Sin saberlo, el extraño cuerpo había estado dentro de ella desde su nacimiento, indica una publicación en BMJ Case Reports.
El caso corresponde a un fenómeno llamado ‘fetus in fetu’ (FIF), que se debe a una “rara anomaía del desarrollo en la que un feto malformado se halla dentro del cuerpo de otro gemelo”, indican los médicos autores del informe.
TE RECOMENDAMOS
JHAN SANDOVAL RESPONDE LAS PREGUNTAS DEL PÚBLICO 🔮 | ASTROMOOD
Según el reporte, la adolescente desarrolló un tumor durante cinco años. Durante este periodo, el bulto “estuvo aumentando de tamaño gradualmente”, mientras la paciente sufría dolores en el abdomen. Asimismo, la paciente decía que se sentía saciada tras ingerir una pequeña porción de alimentos. Sin embargo, los médicos no detectaron una reducción de peso considerable.
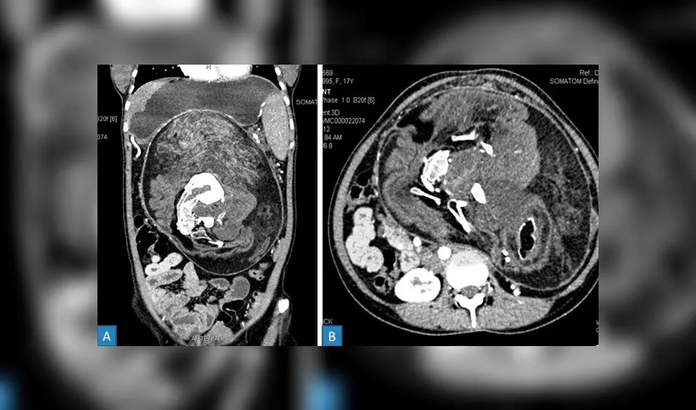
“Una masa bien definida” fue identificada en el abdomen de la joven gracias a una tomografía computarizada con contraste. En las imágenes se pudo observar que dicha masa contaba con elementos de tejido adiposo y secciones con formas semejantes a huesos (vértebras, costillas, etc.).
Con los datos obtenidos durante los exámenes, los especialistas pudieron diagnosticar un caso de ‘fetus in fetu’, que ocurre en uno de cada millón de nacimientos y que, hasta ahora, menos de 200 casos se han registrado en los estudios médicos.

La masa había involucrado toda el área abdominal de la joven. Imagen: BMJ Case Reports.
Los médicos decidieron extirpar al ‘gemelo’ mediante una intervención quirúrgica, que se llevó a cabo con éxito. Los cirujanos extrajeron del abdomen de la joven un cuerpo cuyas medidas eran 30x16x19 centímetros, con pelos y “múltiples dientes”.
El informe revela que esta “condición extremadamente rara” se detecta sobre todo en niño. Asimismo, si bien se conocen otros 7 casos similares observados en personas mayores de 15 años, indicaron que es el primer caso ‘fetus in fetu’ registrado en el organismo de una mujer casi adulta.
La joven agradeció al personal médico que la intervino y afirmó que “se siente muy bien” después de la cirugía. “Mi abdomen ahora está plano y mis padres también están muy felices”, agregó.
El reporte indica que el período postoperatorio “transcurrió sin incidentes” y que la joven ha estado bajo seguimiento de los especialistas durante los últimos 24 meses.































