Joven asintomática descubrió que tenía COVID-19 en los pulmones por una tomografía en Irán
Una mujer pidió que le hicieran una prueba luego de que un familiar muriera por coronavirus. Normalmente no lo hacen con asintomáticos, pero esta vez hicieron una excepción y se llevaron una sorpresa.
- Arqueólogos creyeron encontrar una pieza de maquinaria agrícola antigua, pero era en realidad una llanta de carruaje de la Edad de Hierro
- Científicos buscan voluntarios sanos dispuestos a vivir gratis en los Alpes durante un mes: alojamiento, comida y 400 euros

La expansión del nuevo coronavirus ha provocado que expertos y científicos se hayan adentrado en diferentes investigaciones para entender mejor el SARS-CoV-2, causante de la enfermedad COVID-19.
Entre las formas para detectar si una persona tiene coronavirus, una de las más usadas por su efectividad es la prueba de hisopo, sin embargo en Irán se presenció un hecho particular, referido por ABC.
Una mujer de 30 años, aparentemente sana y sin síntomas de COVID-19, acudió a un hospital para solicitar que le hicieran el test correspondiente, luego de que un familiar falleciera a causa del virus.
Sea porque el sistema de salud está colapsado o por simple procedimiento, usualmente a una persona asintomática no se le realiza una tomografía, pero en este caso los doctores hicieron una excepción.
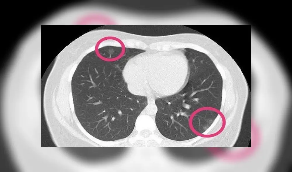
Y en cuestión de días se reveló que tenía marcas típicas de una neumonía ocasionada por la COVID-19. Un resultado que fue publicado por el radiólogo iraní Bahman Rasuli en el portal australiano Radiopaedia; una especie de Wikipedia sobre patologías.
“Tal vez en Australia no le hubieran hecho una tomografía computarizada a pesar de su insistencia. Pero el médico la vio preocupada por la persona que murió y solo realizamos la tomografía computarizada para aliviar su mente”, dijo.
Las imágenes desvelaron zonas de opacidad en los pulmones, es decir, había líquido en ese órgano respiratorio.
El papel de las tomografías
Como la mayoría de las naciones decretaron controles fronterizos estrictos para contener la propagación de la COVID-19, los radiolólogos han decidido compartir las tomografías computarizadas y las radiografías de sus pacientes.

El caso de una mujer con COVID-19 en Pakistán. Las flechas apuntan a signos de punción y los círculos indican evidencia de neumonía
Aunque los especialistas sostienen que una tomografía computarizada no es una buena prueba para detectar si una persona tiene coronavirus, sus resultados sirven para comprender mejor la composición del SARS-CoV-2.
El doctor Daniel Bell, radiólogo de Londres, apuntó que es útil para evaluar casos de pacientes pediátricos, embarazadas o asintomáticos.
“Queremos un amplio espectro de casos para que las personas puedan observarlos y aprender de ellos”, afirmó Bell, editor gerente de Radiopaedia.






























