Médicos en EE. UU. encuentran larvas en el cerebro de hombre con migrañas
Médicos en Estados Unidos identificaron que las intensas y recurrentes migrañas experimentadas por un individuo se debían a la existencia de larvas de un parásito de tenia alojadas en su cerebro.
- Powerball HOY, sábado 16 de marzo EN VIVO: conoce los números ganadores
- ¿Vas a sacar tu ciudadanía americana? Conoce las 8 preguntas más frecuentes

En Estados Unidos, un ciudadano de 52 años, cuya identidad se mantiene en anonimato, acudió a consulta médica en Florida debido al agravamiento de sus síntomas de migraña y la ineficacia de su tratamiento habitual.
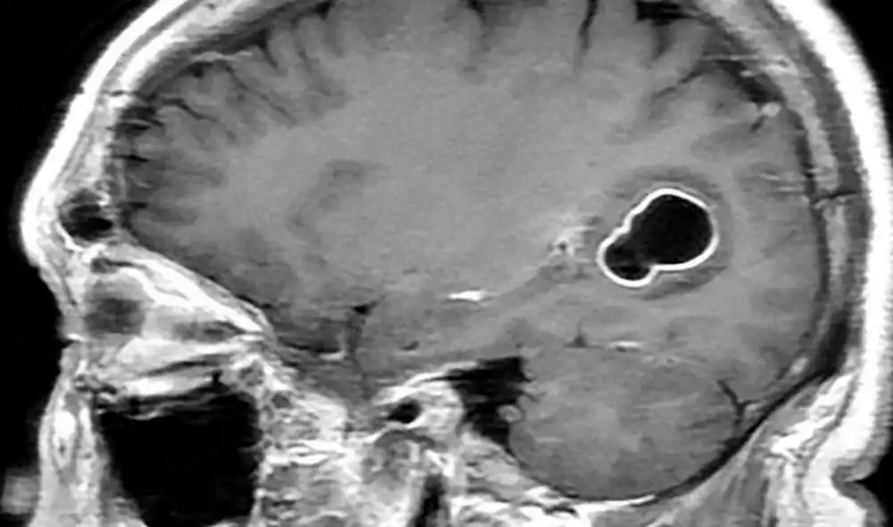
Durante el examen médico, mediante tomografías, se detectaron múltiples quistes en el cerebro del paciente. Análisis más detallados revelaron que estos quistes contenían larvas de tenia, causantes de una infección denominada neurocisticercosis.
TE RECOMENDAMOS
LO MEJOR DE LOS PROGRAMAS LR +
¿Cómo contrajo la enfermedad el ciudadano estadounidense?
En esta instancia, el individuo carecía de los factores de riesgo convencionales asociados: no tenía historial de viajes a regiones de alta prevalencia, no mantenía contacto cercano con cerdos ni residía en áreas con condiciones sanitarias deficientes. No obstante, de acuerdo con el informe, reveló haber consumido tocino poco cocido y no crujiente durante la mayor parte de su vida.
Los expertos concluyeron que es altamente probable que el ciudadano estadounidense se haya autoinfectado. Específicamente, podría haber contraído una tenia intestinal, conocida como teniasis, al ingerir tocino crudo que contenía quistes larvales.
Posteriormente, debido a una higiene de manos inadecuada, es posible que ingiriera los huevos de la tenia que habían sido excretados en las heces, desencadenando así la neurocisticercosis.

Las personas pueden evitar contraer tenias intestinales cocinando la carne a temperaturas seguras. Foto: Especial | Canva
¿Cuál fue la opinión de los médicos acerca de los síntomas de este paciente?
''Si bien solo podemos especular, considerando la inclinación de nuestro paciente hacia el consumo de carne de cerdo poco cocida y su historial de exposición benigna, estamos inclinados a creer que su neurocisticercosis fue transmitida por autoinfección, probablemente como resultado de una higiene de manos insuficiente después de haber adquirido previamente teniasis debido a sus hábitos alimenticios". Esta es la declaración proporcionada en el informe.
¿Cuál fue el tratamiento que recibió el paciente infectado con neurocisticercosis?
Según el informe, el hombre recibió tratamiento con esteroides y agentes antiparasitarios. Como resultado, experimentó una mejora en sus dolores de cabeza y se observó una reducción en el tamaño de los quistes cerebrales.

Los médicos creen que el hombre contrajo en primer lugar una tenia intestinal por comer carne de cerdo poco cocida. Foto: El Universo
PUEDES VER: Bohemian Grove: boxeador Ryan García afirma existencia de secta y dice tener pruebas de OVNIS

¿Qué es la neurocisticercosis?
La neurocisticercosis es provocada por la infestación de larvas del parásito Taenia solium, comúnmente conocido como la tenia del cerdo. Daña el sistema nervioso central y representa un desafío significativo para la salud pública debido a su impacto en la morbilidad.
¿Cuáles son los síntomas de la neurocisticercosis?
Aunque puede manifestarse sin síntomas aparentes, un diagnóstico precoz y un tratamiento oportuno son cruciales para un pronóstico favorable. Principalmente asociada con la epilepsia crónica, esta enfermedad requiere una atención médica diligente para mitigar sus efectos debilitantes.


































