El exrecluso que llevó un globo con marihuana dentro de su nariz durante 18 años
Quiso ingresar droga al penal y asumió que se había tragado el contrabando por accidente. Médicos se sorprendieron con el hallazgo.
- China compra maíz de un país de Sudamérica por primera vez en más de 10 años y proyectan que exportación supere 40 millones de toneladas
- El aeropuerto sobre la cordillera de los Andes que un país de Sudamérica moderniza con más de US$30 millones y estará listo en 2027

Parece mentira, pero no. Dentro de la nariz de un exrecluso, un grupo de médicos halló un globo que contenía marihuana.
El descubrimiento ocurrió de Australia, 18 años después de que lo colocara allí para pasarlo como contrabando en la prisión.
TE RECOMENDAMOS
LO MEJOR DE LOS PROGRAMAS LR +
El hombre (48), cuya identidad se mantiene en reserva, asumió que se había tragado accidentalmente el paquete, el cual fue suministrado por su novia durante una visita.
No tenía idea de que estaba atorado en sus fosas nasales hasta que los médicos se lo retiraron.
¿Qué era en realidad? Según los especialistas, se trata de un rinolito, una masa que se desarrolla lentamente cuando se acumulan objetos extraños durante varios años.
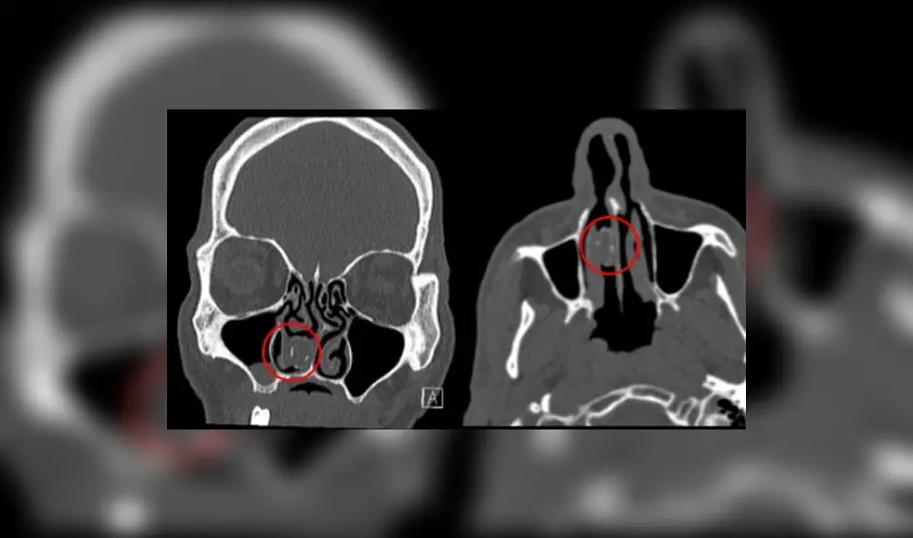
Los médicos de Australia realizaron una tomografía computarizada de su cerebro, luego de que se quejara por severos dolores de cabeza, un síntoma común de este mal.
Mostraba una lesión gris de 1.9cm x 1.1cm en su cavidad nasal derecha y fue derivado al departamento de oídos, nariz y garganta del Hospital Westmead, en Sydney.
El informe del caso, reseñado por la revista BMJ, indica: “Describimos el caso único de un rinolito que se desarrolló a partir de un globo lleno de marihuana que el paciente intentó pasar de contrabando a una instalación correccional”
“A pesar de experimentar síntomas persistentes de obstrucción nasal e infecciones sinonasales recurrentes, el paquete de marihuana solo se descubrió 18 años después de la inserción después de la imagen por una indicación no relacionada”.
El doctor Eugene Wong, quien coordinó la investigación, señaló que “el paciente pudo recordar un incidente que ocurrió 18 años antes, mientras estaba encarcelado”.
Según la reseña, no pudo pasar con éxito el paquete de marihuana. Sin embargo, su salud está a salvo: los médicos retiraron la cápsula de goma y sus síntomas disminuyeron tres meses después, informa el Daily Mail.






























