Científicos de Harvard confirman que el litio podría tener un papel crucial en la prevención y posible reversión del Alzheimer
La investigación, que incluye análisis genéticos y estudios en ratones, plantea que comprobar niveles de litio sería crucial para diagnosticar precozmente a personas en riesgo de Alzheimer.
- Científicos surcoreanos crean una innovadora sustancia en polvo para detener hemorragias graves solo en segundos
- Científicos revelan que este animal del océano fabrica "herramientas" para mejorar hasta en 7 veces la caza contra sus presas

Tradicionalmente, el litio destaca como un estabilizador del ánimo en la psiquiatría para el trastorno bipolar. No obstante, un estudio de la Harvard Medical School publicado en Nature revela que el cerebro produce este elemento de forma natural. Este litio endógeno resulta fundamental para la protección de la función neuronal y la preservación de la salud cognitiva frente al paso del tiempo.
El descubrimiento ofrece una perspectiva nueva ante la enfermedad de Alzheimer, una patología sin cura definitiva hasta la fecha. A diferencia de los enfoques centrados en las placas amiloides, el litio permite una estrategia preventiva mediante la regulación de procesos celulares críticos. Este hallazgo abre la puerta a terapias tempranas que actúan mucho antes de la aparición de los síntomas de la demencia.
¿Por qué el litio sería clave contra el Alzheimer?
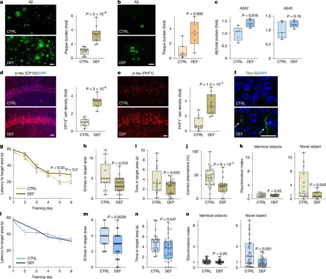
Un estudio de Harvard determinó que los niveles de litio en el cerebro presentan una reducción drástica en pacientes con Alzheimer y deterioro cognitivo leve. Este metal traza destacó entre 27 elementos analizados por su ausencia específica en áreas críticas como la corteza prefrontal. La investigación sugiere una correlación directa entre la carencia de este componente y el avance de la patología neurodegenerativa.

La deficiencia de litio acelera la patología de EA y el deterioro cognitivo. Foto: Nature
La acumulación de placas de beta-amiloide, fenómeno central de la enfermedad, captura el litio disponible y limita su presencia en el tejido sano. Esta escasez priva a las neuronas de una defensa esencial ante el estrés oxidativo y la inflamación crónica. Sin este equilibrio mineral, las células cerebrales pierden su capacidad de resistencia y sucumben con mayor rapidez a la degeneración.
Pruebas en modelos animales confirmaron que la falta de litio acelera la formación de ovillos de tau y depósitos amiloides. Estos resultados vinculan la deficiencia del metal con una pérdida de memoria más severa y un progreso acelerado de los daños neuropatológicos. Así, la homeostasis de este elemento aparece como un factor determinante para la protección de las funciones cognitivas.

La investigación sugiere una correlación directa entre la carencia de este componente y el avance de la patología neurodegenerativa. Foto: Nature
¿Cuáles fueron los exámenes y qué sigue ahora?
Los investigadores analizaron biopsias post mortem de cerebros humanos con distintos niveles de deterioro cognitivo. Tras medir 27 metales, identificaron que solo el litio disminuye de manera constante en la corteza prefrontal de pacientes con Alzheimer y deterioro leve. Esta región cerebral resulta fundamental para procesos de memoria y pensamiento.

Pruebas en modelos animales confirmaron que la falta de litio acelera la formación de ovillos de tau y depósitos amiloides. Foto: Nature
El estudio utilizó modelos de ratón modificados genéticamente para replicar la patología. La carencia de este metal en la dieta aceleró la formación de placas amiloides, ovillos y la pérdida de memoria. Por el contrario, la administración de orotato de litio previno estas alteraciones y restauró las funciones cognitivas gracias a su capacidad de distribución cerebral superior frente a otras sales.
A pesar del éxito en animales, la eficacia y seguridad en seres humanos todavía carecen de evidencia científica sólida. Los equipos responsables planean ensayos clínicos controlados para verificar si los beneficios observados se repiten en personas. Este avance posiciona al orotato de litio como una vía prometedora para futuras aplicaciones terapéuticas contra la demencia.

El estudio utilizó modelos de ratón modificados genéticamente para replicar la patología. Foto: Nature
Detalles adicionales del estudio de Harvard
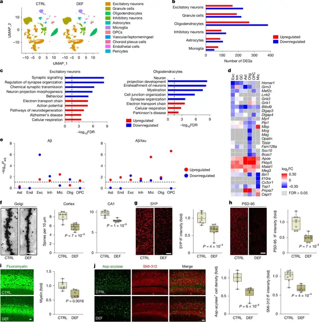
Esta investigación, con más de diez años de trayectoria, integra análisis moleculares, secuenciación genómica y modelado en ratones para otorgar rigor experimental al descubrimiento. El estudio demuestra que la carencia de litio en el cerebro provoca alteraciones en la expresión génica de diversas células, un fenómeno que guarda similitud directa con los patrones observados en la enfermedad de Alzheimer.
Los hallazgos plantean que la medición de los niveles de litio en el cerebro o en la sangre sirve como una herramienta diagnóstica precoz. Esta técnica facilita la detección de individuos en riesgo previo a la aparición de síntomas graves y establece una oportunidad estratégica para el desarrollo de nuevas intervenciones preventivas.



































