Joven acude al hospital por dolor en el pecho: tenía un alfiler en el corazón
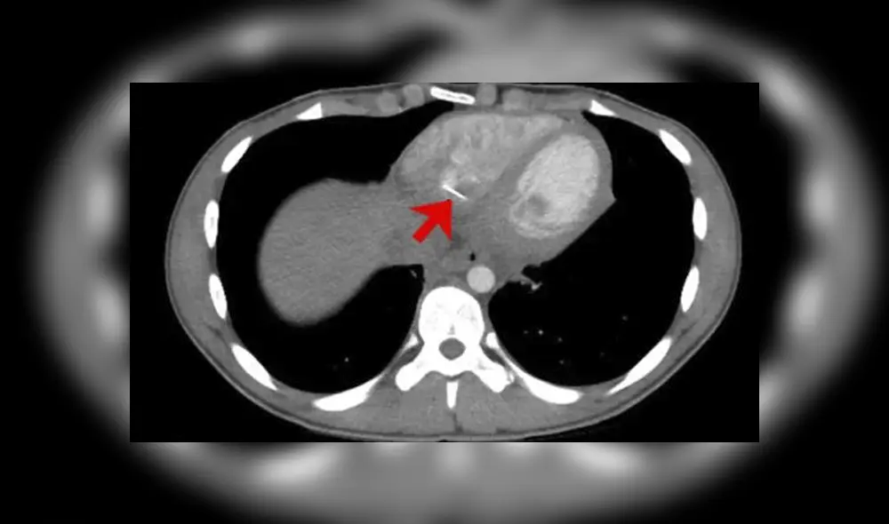
Los médicos encontraron el objeto punzante de unos 3,5 centímetros alojado en el órgano central, el cual habría sido tragado mientras cosía.
- Un complejo chimú transformó el desierto en un centro de agricultura, religión y poder en el norte del antiguo Perú
- Científicos suizos podrían cambiar el futuro de la electrónica cuántica con circuitos controlados por luz

La revista The Journal of Emergency Medicine expuso el extraño caso de un joven que padeció un agudo dolor en el pecho por varios días, ocasionado por un alfiler alojado en su corazón.
De acuerdo a la investigación realizada por los especialistas de la Facultad de Medicina de la Universidad de Massachusetts, Estados Unidos, el adolescente de 17 años tragó sin darse cuenta un alfiler de unos 3,5 centímetros que recorrió su cuerpo hasta el corazón.
El joven, cuya identidad se desconoce, aseguró que durante tres días tuvo un extraño dolor en el pecho que se intensificaba cuando se acostaba o respiraba profundamente, por lo que decidió acudir al hospital.
Los médicos le hicieron una prueba de la actividad eléctrica del corazón, conocida como electrocardiograma, mostrando que sufría una inflamación cardíaca, mientras que su nivel elevado de proteínas en la sangre indicaba que padecía una lesión al corazón, detalla Live Science.
Los resultados obtenidos no resolvieron el misterio del dolor, por lo que decidieron realizar una tomografía computarizada donde finalmente se reveló que en la parte inferior derecha de su corazón tenía alojado un objeto metálico punzante.
Después de ello, los médicos entrevistaron al joven, este dijo que no había ingerido ningún objeto extraño ni había experimentado un trauma físico en el pecho. Pero, en una conversación posterior, comentó que solía adaptar su ropa él mismo, por lo que a veces llevaba alfileres en su boca.
Asimismo, aseguró que, de haber ingerido un alfiler de costura, no fue intencional, pero parecía la explicación más lógica tras encontrar el material alojado en su órgano.
Los doctores realizaron una cirugía a corazón abierto para extraer el objeto, que en efecto era un alfiler de costura. Los resultados fueron exitosos y el adolescente se recuperó.
El informe publicado en la revista antes mencionada insta a los médicos a considerar “con seriedad” quitar “todos los cuerpos extraños agudos” para evitar migraciones “como la descrita en este caso” y otras “potenciales complicaciones devastadoras”.





















