Carlos Bilardo: ¿Qué es el síndrome de Hakim Adams y por qué es difícil de diagnosticar?
Descubre qué es y cuáles son los síntomas de este degenerativo síndrome .
Carlos Salvador Bilardo, ex entrenador de la selección argentina de fútbol, padece desde 2017 una extraña enfermedad del cerebro por lo que tuvo que ser internado el pasado jueves en un estado muy grave en el Instituto Argentino de Diagnóstico y Tratamiento por una afección llamada síndrome de Hakim-Adams.
A sus 81 años, Carlos Bilardo ya ha sido internado en reiteradas oportunidades, la primera vez fue en 2017 y desde aquel momento recibió varias operaciones para afrontar la enfermedad.
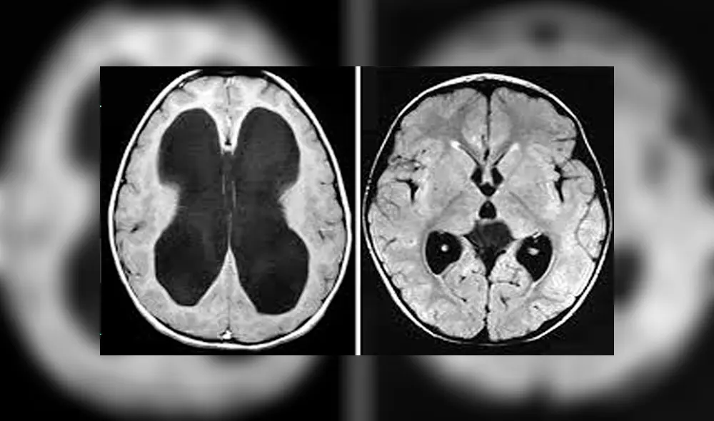
El síndrome de Hakim-Adams también es conocida como hidrocefalia de presión normal o hidrocefalia normotensiva y es causada por un aumento de líquido cefalorraquídeo en los ventrículos o cavidades del cerebro, lo que genera complicaciones a nivel neurológico.
Según informa la Biblioteca de Medicina de los Estados Unidos, la enfermedad afecta mayormente a las personas de la tercera edad y su diagnóstico es muy complicado de descartar debido a su gran parecido con otros síndromes.

El estado del ex técnico de la selección argentina aun es grave aunque no hay todavía un comunicado oficial. Créditos: Arte Gráfico Editorial Argentino S.A.
Por esta razón, la hidrocefalia normotensiva puede llegar a pasar desapercibida al ser confundida con otras afecciones del sistema nervioso, como el Parkinson (por la alteración de la marcha) o el Alzheimer (por la disfunción cognitiva), lo que hace imposible el tratamiento y la recuperación del enfermo.
¿Cuáles son los síntomas?
El primero de los aspectos es el más notorio ya que puede provocar traumatismos graves. Por otro lado, pueden encontrarse dificultades como meningitis, hemorragias e infecciones.
Otro de los indicios se da en el deterioro cognitivo progresivo, ya que se distorsiona el lóbulo central y las áreas subcorticales del cerebro.
También puede percibirse con debilidad en las piernas, incontinencia urinaria. Hay problemas de planificación, atención y concentración. La falta de memoria, ralentización del sistema psicomotor, falta de energía y lentitud en el habla, son otros de los síntomas de esta extraña enfermedad.































