Impactante: estudio revela cuántos años envejece el cerebro tras una noche sin dormir
Los científicos observaron que una sola noche de privación del sueño altera la estructura del cerebro, al igual que el envejecimiento.
- Científicos proponen la nave definitiva de 58 km de largo que llevaría a 2.400 personas a Alfa Centauri en un viaje interestelar de 400 años
- La central hidroeléctrica de casi 8 km en Sudamérica que compite con China por liderar la energía mundial: posee un lago artificial

Un nuevo estudio publicado el 20 de febrero en la revista Journal of Neuroscience revela cuánto podría envejecer el cerebro tras una sola noche sin dormir.
La investigación incluyó los datos de 134 participantes divididos en cuatro grupos: privación total del sueño (sin dormir una noche), privación parcial del sueño (tres horas en la cama por una noche), privación crónica del sueño (cinco horas en la cama cada noche durante cinco días) y un grupo de control (ocho horas en la cama cada noche).
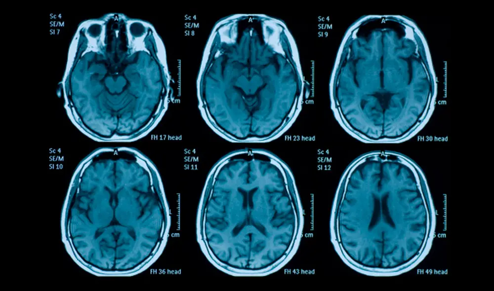
A cada voluntario se le realizó una resonancia magnética tras cada noche. Esta información permitió a los científicos comparar cómo se veían los cerebros antes y después de la privación del sueño, y luego de un descanso completo.
Para determinar las edades aparentes de los cerebros de los participantes, los investigadores utilizaron un algoritmo de aprendizaje automático llamado brainageR, el cual fue entrenado con resonancias de más de 3.000 personas, de modo que puede predecir cómo se ve el órgano cerebral sano a una edad determinada.
En el nuevo estudio, los científicos aplicaron el algoritmo para predecir las edades antes y después de las pruebas de sueño.
Para el grupo que no durmió durante una noche, brainageR estimó que tenían, en promedio, uno o dos años más en comparación con lo que predijo antes de las evaluaciones.
No obstante, estas diferencias desaparecieron después de una noche de sueño reparador.
En tanto, no se observaron diferencias significativas en los grupos de privación parcial y crónica del sueño en comparación con el de control.
Los resultados del estudio concuerdan con investigaciones anteriores sobre el efecto de la privación del sueño en el cerebro. Estos cambios incluyen la distribución de líquidos y el volumen de la materia gris.































