Tomografías muestran el daño que causa el coronavirus en los pulmones [FOTOS]
Las imágenes, difundidas por la Sociedad Radiológica de América del Norte, grafican las complicaciones sufridas por pacientes de China con COVID-19.
- China compra maíz de un país de Sudamérica por primera vez en más de 10 años y proyectan que exportación supere 40 millones de toneladas
- El aeropuerto sobre la cordillera de los Andes que un país de Sudamérica moderniza con más de US$30 millones y estará listo en 2027
El daño provocado por el nuevo coronavirus en los pulmones de las personas infectadas es graficado en una serie de tomografías realizadas a víctimas del COVID-19 en China. Las imágenes fueron difundidas recientemente por la Sociedad Radiológica de América del Norte.
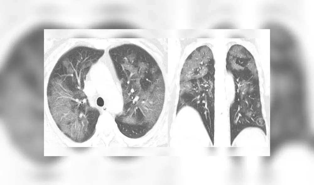
En un grupo de placas se observa la evolución de los pulmones de un hombre de 44 años, procedente de China, quien trabajaba en el mercado de mariscos de Wuhan, donde se cree que surgió el brote. Las tomografías muestran unas manchas blancas en las esquinas inferiores de dichos órganos, conocidas por los radiólogos como “opacidad de vidrio esmerilado”.
TE RECOMENDAMOS
LO MEJOR DE LOS PROGRAMAS LR +
PUEDES VER “No entren en pánico y sean responsables”: mujer recuperada del coronavirus da su testimonio
Estas anomalías indican un llenado parcial de espacios de aire en los pulmones, de forma parecida a lo registrado en pacientes con enfermedades como el SARS y el MERS.
El hombre ingresó al hospital el 25 de diciembre pasado tras experimentar fiebre y tos por unas dos semanas, siendo diagnosticado con neumonía y síndrome de dificultad respiratoria aguda. Los escaneos grafican como, a medida que pasa el tiempo, el líquido en los mencionados espacios se hace más pronunciado.
Una semana después de su hospitalización, el individuo falleció.
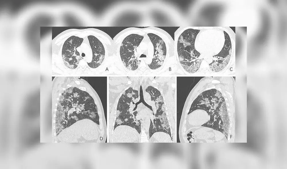
Otro conjunto de imágenes computarizadas muestra el mismo llenado de espacios de aire en los pulmones de una mujer de 54 años, quien se infectó con coronavirus tras un viaje a Wuhan. Ella experimentó fatiga, tos, fiebre y congestión en el pecho, siendo luego diagnosticada con neumonía severa ocasionada por el COVID-19.
PUEDES VER Monos luchan a muerte por un plátano ante la falta de alimentos por el coronavirus [VIDEO]
También se ven manchas blancas en los pulmones de una mujer de 45 años que dio positivo por el virus tras regresar de Japón.
El nuevo coronavirus ha infectado a más de 120 000 personas en el mundo, cobrando más de 4 700 vidas. China supera los 80 000 casos registrados.




![Tomografías muestran el daño que causa el coronavirus en los pulmones [FOTOS] Tomografías muestran el daño que causa el coronavirus en los pulmones [FOTOS]](https://imgmedia.larepublica.pe/1000x590/larepublica/migration/images/MVGO3AAZVBFSDIQLMJR7FLTYAM.webp)

![Tomografías muestran el daño que causa el coronavirus en los pulmones [FOTOS] Tomografías muestran el daño que causa el coronavirus en los pulmones [FOTOS]](https://imgmedia.larepublica.pe/1000x590/larepublica/migration/images/6HGXJFKB2ZDSFNIT6NYLZXBBMM.webp)
![Tomografías muestran el daño que causa el coronavirus en los pulmones [FOTOS] Tomografías muestran el daño que causa el coronavirus en los pulmones [FOTOS]](https://imgmedia.larepublica.pe/1000x590/larepublica/migration/images/IVWRZLZFZVA7VA7IKWSASGZNHM.webp)
![Tomografías muestran el daño que causa el coronavirus en los pulmones [FOTOS] Tomografías muestran el daño que causa el coronavirus en los pulmones [FOTOS]](https://imgmedia.larepublica.pe/1000x590/larepublica/migration/images/X5MDER6M3NGA7C4VKY5UL734WU.webp)


























