Hombre acude al médico y descubre que su pene se está convirtiendo en hueso [FOTOS]
Asistió a un chequeo médico por un dolor de rodilla y descubrió que padecía de esta extraña enfermedad que solo se ha presentado en 40 pacientes.
- Genio chino de 14 años construye desde cero un motor turborreactor y sorprende al mundo con su talento científico
- El aeropuerto sobre la cordillera de los Andes que un país de Sudamérica moderniza con más de US$30 millones y estará listo en 2027
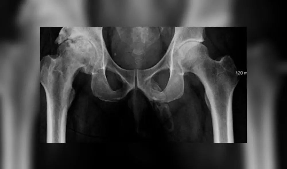
Sorpresivo diagnóstico. En Nueva York, un hombre de 63 años sufrió una caída cuando se encontraba caminando por las calles de la ‘Gran Manzana’. Un dolor en la rodilla que asumió normal se fue intensificando con el tiempo, lo cual lo llevó a asistir al médico de inmediato.
Frente al especialista, el sujeto refirió que además de un dolor en la rodilla, había estado sintiendo ciertas dolencias en el pene. El procedimiento que escogió el médico fue una revisión a la próstata y una radiografía a la pelvis del paciente para conocer si había algún tipo de fractura.
TE RECOMENDAMOS
LO MEJOR DE LOS PROGRAMAS LR +
Lo que determinaron los resultados de los análisis sorprendieron a todos pues se halló que el sujeto tenía una acumulación de calcio anómala en los tejidos blandos del pene. Es decir, su miembro estaba recubierto de hueso.
El diagnóstico fue uno: osificación del pene, extraña enfermedad que hasta la fecha se ha registrado solo en 40 informes médicos.
El origen de este padecimiento que consiste en una acumulación de sales de calcio en el miembro viril varía de acuerdo al paciente. En el caso de este hombre no se pudo detectar la causa real de la aparición de la osificación pues este decidió retirarse del nosocomio pese a los consejos de los médicos.
Una investigación registrada en Urology Case Reports señaló que el tratamiento para esta extraña enfermedad dependerá del origen, extensión y sensación de dolor que sienta el paciente por lo cual se pueden establecer observaciones periódicas, uso de analgésicos orales, inyecciones intralesionales hasta estiramientos mecánicos y terapias de ondas de choque extracorpóreas. El informe señaló a la intervención quirúrgica como la última opción.





![Hombre acude al médico y descubre que su pene se está convirtiendo en hueso [FOTOS] Hombre acude al médico y descubre que su pene se está convirtiendo en hueso [FOTOS]](https://imgmedia.larepublica.pe/1000x590/larepublica/migration/images/JR2TMKMNPFBOXNUB2X3Z3HWMTY.webp)



























