Revelan imágenes del veloz avance del coronavirus en los pulmones de una paciente
Dos radiografías muestran la evolución de la mortal enfermedad en los pulmones de una mujer proveniente de Wuhan, donde se originó el brote.
- Misión Artemis II EN VIVO: sigue la transmisión de la NASA y el minuto a minuto del regreso del hombre a la Luna
- Hallazgo sorprendente reescribe la historia de un fósil de 247 millones de años descubierto en 1952

El Primer Hospital de la Universidad de Lanzhou (China) ha revelado radiografías de tórax de una mujer infectada por el nuevo coronavirus. Las imágenes muestran la evolución de la enfermedad en los pulmones de la paciente.
La publicación, realizada en la revista Radiology, indica que las imágenes corresponden a una mujer de 33 años que viajó a Lanzhou desde Wuhan, epicentro del brote del coronavirus 2019-nCoV.
Un día después de su llegada, comenzó a mostrar una serie de síntomas. Tras cinco días de padecimiento, llegó al hospital con tos y 39 °C de fiebre. Cuando fue examinada, los médicos detectaron que presentaba una respiración “áspera” y un número bajo de glóbulos blancos, signos clave de la también llamada neumonía de Wuhan.

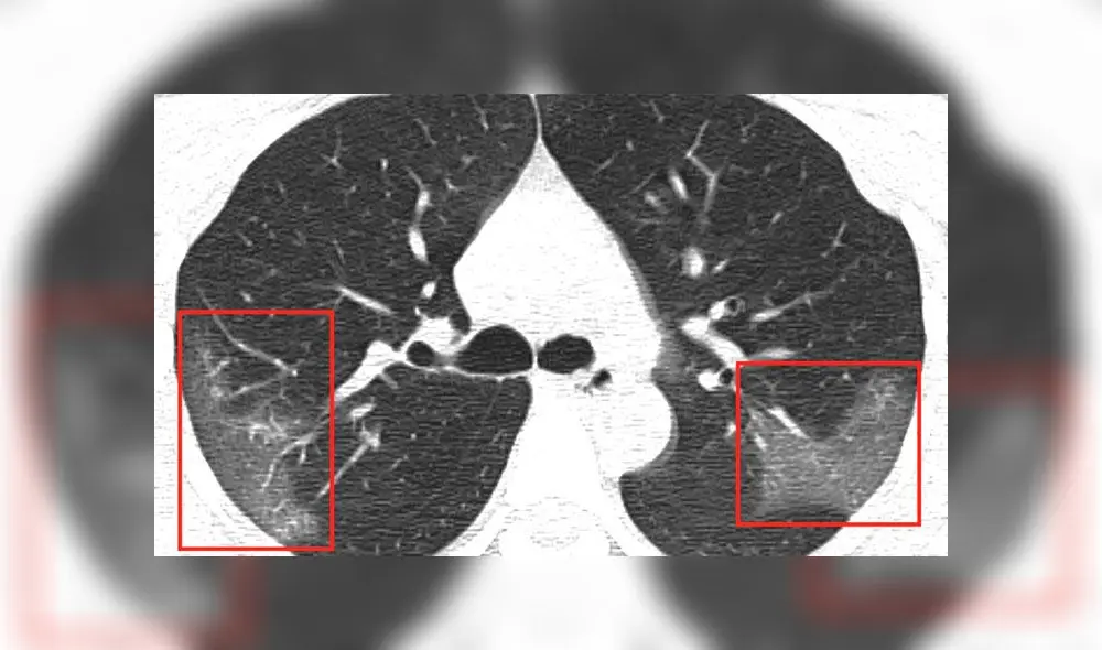
Evolución de las manchas en los pulmones después de tres días. Imagen: First Hospital of Lanzhou University.
En la primera radiografía, los médicos detectaron unas manchas blancas en la esquina inferior de los pulmones de la paciente, que se mantiene en el anonimato. Los expertos comparan la tonalidad de las manchas con la “opacidad de vidrio esmerilado”.
“Si no supiera sobre este brote, leería el escaneo y simplemente diría: ‘Está bien, este paciente tiene neumonía’, porque eso es lo más común que vemos”, dijo a Bussiness Insider Paras Lakhani, radiólogo de la Universidad Thomas Jefferson (EE. UU.), que no participó en el estudio pero examinó las imágenes.
Sin embargo, las manchas se extendían hasta los bordes de los pulmones de la mujer, lo que antes también se había detectado en los infectados por coronavirus como el SARS y MERS.
Luego de tres días de tratamiento, los médicos realizaron nuevas radiografías para descartar un caso de neumonía común. Al ver las imágenes, se percataron de que las manchas blancas eran más notorias y extensas.
A pesar de que el hospital le administró 'interferón’ -proteína que trata infecciones virales- junto con medicamentos que ayudan a abrir las vías respiratorias, la mujer siguió empeorando.
El documento no precisa el estado actual de la paciente.




















